硝子体内注射
加齢黄斑変性や糖尿病黄斑浮腫などの眼疾患は脈絡膜新生血管や、黄斑部における浮腫をともない視力低下の原因となります。また場合によっては重篤な視力障害をきたす病態です。
これらは網膜下における新生血管の増殖や、網膜内の毛細血管から漏れ出る血液成分により引き起こされます。
そして、その原因はVEGF(血管内皮増殖因子)という物質だと考えられています。抗VEGF薬硝子体内注射 (抗VEGF薬治療)は、このVEGFの働きを抑える薬剤を眼内に注射することで、脈絡膜新生血管や血液成分の漏れを抑制する治療法です。
現在、加齢黄斑変性症、糖尿病黄斑浮腫、網膜静脈閉塞症、脈絡膜新生血管、血管新生緑内障(アイリーアのみ)、未熟児網膜症(ルセンティスのみ)が適応症として承認されています。
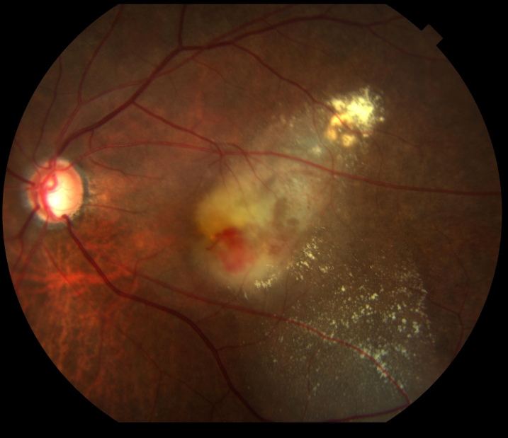
加齢黄斑変性
加齢黄斑変性は、加齢に伴い網膜黄斑部に異常をきたした疾患の総称で、「滲出型」と「萎縮型」に分類されます。どちらも視力に強く影響する疾患で、黄斑変性症としては日本における視覚障害の原因の第4位です。
新生血管は非常にもろく破れやすいため、出血を起こしたり、血管中の成分がもれたりして、急激な視力低下の原因となります。
「萎縮型」は加齢に伴って徐々に黄斑部組織が破壊され、長い期間をかけて視力の低下が進みます。
一方「滲出型」は、網膜脈絡膜からの血管新生により、黄斑部に浮腫や炎症を伴う病変が発生し、急激な視力低下が起こります。
症状
視野の中心がゆがんで見にくくなり、部分的にかけてみえるようになります。進行すると視力も大きく低下します。

糖尿病黄斑浮腫
糖尿病黄斑浮腫は*糖尿病網膜症に合併して起こる病態であり、毛細血管瘤や網膜毛細血管の透過性亢進により血漿成分が網膜内に貯留することで、黄斑が異常をきたす病態です。糖尿病網膜症の病期に関係なく発症し、視力低下の原因となる可能性があります。
*糖尿病網膜症は、糖尿病において高血糖状態が続くことで起こる三大合併症の1つです。
網膜静脈閉塞症
網膜静脈閉塞症(RVO;retinal vein occlusion)は、網膜動静脈交差部で網膜静脈の分枝が閉塞する網膜静脈分枝閉塞症(BRVO;branch retinal vein occlusion)と、視神経内で網膜静脈が閉塞する網膜中心静脈閉塞症(CRVO;central retinal vein occlusion)の二つに分類されます。BRVOでは閉塞静脈よりも遠位側に、CRVOでは網膜の全域あるいは大部分に出血が広がります。また、RVOでは黄斑浮腫を合併すると視力低下が認められる場合があります。
治療スケジュール
1初診
検査(眼底検査、蛍光眼底造影、網膜断層検査)や問診などをもとに、症状を確認します。
2日程調整
抗VEGF薬硝子体内注射による治療が決定すると日程を決めさせていただきます。
3注射3日前~注射当日
感染症を予防するために抗菌作用の目薬を点眼していただきます。
4注射の当日
十分な麻酔と抗菌作用のある目薬をしていただき、注射を行います。
所要時間は約10分です。
5注射の翌日
眼の状態の検査をした後に診察を行い次回の来院日を決めます。
例:加齢黄斑変性症











